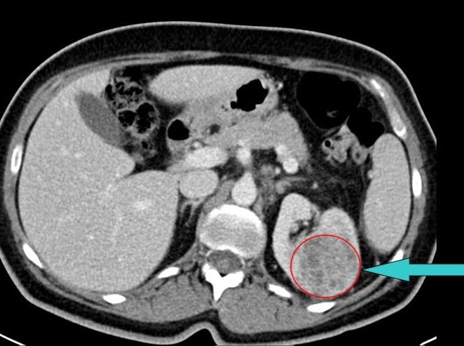
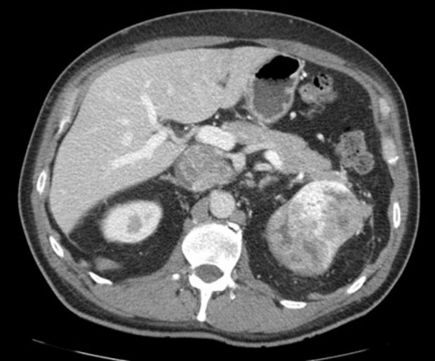
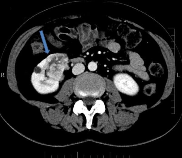
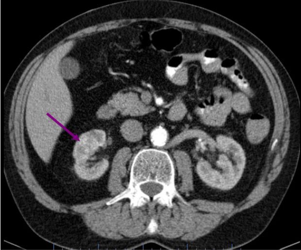
Muž 58 let – světlobuněčný karcinom
Na vyšetření přišel 58letý Jan Vokřálek, který byl předtím vyšetřen praktickým lékařem (PL). Pacient již 3 dny trpí trvajícím otokem pravé dolní končetiny, praktický lékař mu zjistil suspektní tromboflebitidu. Dále trpí dyspeptickým syndromem. Lumbalgií netrpí, hematurii neguje.
autor: MUDr. Roman Sobotka,
publikováno: 21.02.2018